This is an education resource only. Ordering of all procedure codes on this website are subject to the Canberra Health Services guidelines for imaging orders.
INDICATIONS (1-4)
From ACR Criteria:
-
Haematuria, gross, initial imaging
-
Bladder cancer
-
muscle invasive, treated, surveillance
-
non-muscle invasive, treated, symptomatic, surveillance
-
non-muscle, invasive, treated, risk factors, surveillance
-
-
UTI
-
lower urinary tract, recurrent, complicated or frequent relapses, or no response to conventional therapy
-
lower urinary tract, recurrent, risk factors
-
PATHOLOGY DEMONSTRATED (1-4)
-
Bladder tumour
-
Tumours in KUB
-
Renal obstruction
-
Blood clot
-
Pyelonephritis
-
Urolithiasis
-
Infection
-
Kidney laceration
PATIENT PREPARATION
-
Patient able to lie still for ten minutes
-
Not claustrophobic (sedation may be given)
-
Cognitively capable of following basic instructions
-
Metal artefacts removed from the region of interest, including bras and necklaces
-
No respiratory distress when lying supine
-
Not allergic to Iodine based Contrast
-
No known kidney disease (eGFR below 30 as per RANZCR), however, acute setting consultant may sign to continue with poor renal function
-
No hyperthyroidism, may induce thyroid storm
-
Patient to have 20G cannula in anterior cubital fossa.
-
Preferably patient fasted for 4 hours
-
Urinary catheter to be clamped if doing an CT IVP
ANATOMY INCLUDED (4)
For patients over the age of 40, a non contrast KUB, and seperate nephrogenic and excretory (delayed) phases will be performed. For all patients under the age of 40, a non contrast KUB and a COMBINED dual nephrogenic/excretory phase will be performed. Image examples of this can be seen below.
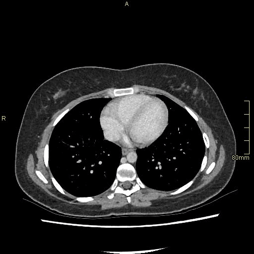
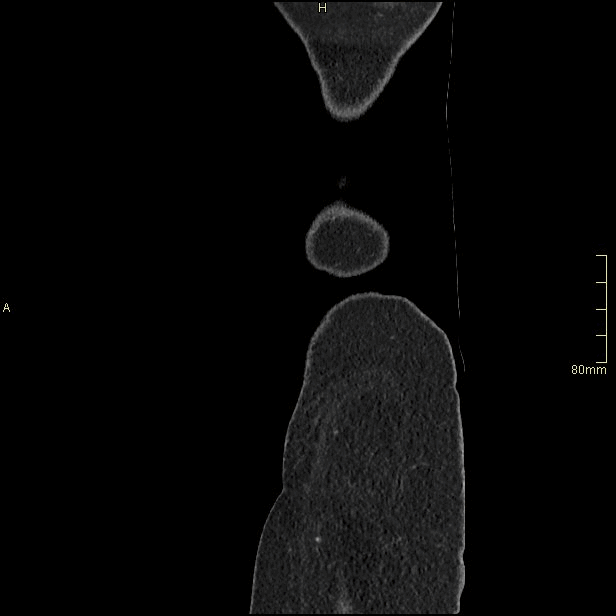
Under 40 Years of Age

CT Urogram- Nephrogenic + Excretory Phase (Axial)

CT Urogram- Nephrogenic + Excretory Phase (Coronal)

CT Urogram- Nephrogenic + Excretory Phase (Sagittal)
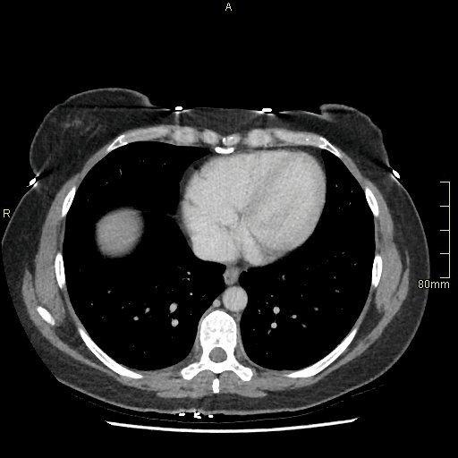
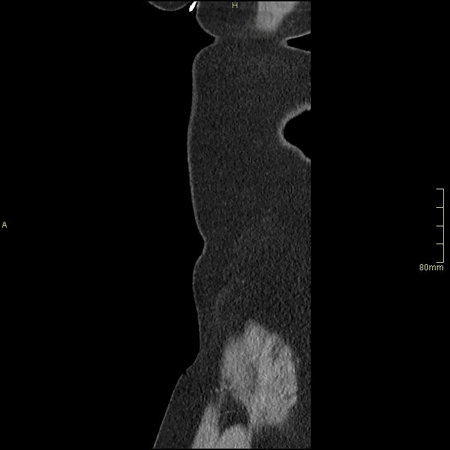
Over 40 Years of Age

CT Urogram- Nephrogenic Phase (Axial)

CT Urogram- Excretory Phase (Axial)

CT Urogram- Nephrogenic Phase (Coronal)

CT Urogram- Excretory Phase (Coronal)

CT Urogram- Nephrogenic Phase (Sagittal)

CT Urogram- Excretory Phase (Sagittal)
REFERENCES
1. American College of Radiology (ACR). Appropriateness Criteria. [Internet]. 2022 [Updated 2021, cited 10 Aug 2022]. Available from https://www.acr.org/Clinical-Resources/ACR-Appropriateness-Criteria​
​
2. Radiopaedia. CT Abdomen-Pelvis (Protocol) [Internet]. 2008 [updated 7 April 2022, cited 23 Aug 2022]. Available from https://radiopaedia.org/articles/ct-abdomen-pelvis-protocol-1?lang=us
​
3. Radiopaedia. CT Urography (Protocol) [Internet]. 2008 [updated 7 April 2022, cited 23 Aug 2022]. Available from https://radiopaedia.org/articles/ct-urography-protocol?lang=gb
​
4. Radiopaedia. CT Split Bolus Technique [Internet]. 2008 [updated 7 April 2022, cited 23 Aug 2022]. Available from https://radiopaedia.org/articles/ct-urography-protocol?lang=gb
