This is an education resource only. Ordering of all procedure codes on this website are subject to the Canberra Health Services guidelines for imaging orders.
CT THORACIC SPINE CONTRAST
NOTE: Please indicate specific vertebral levels for scan range to limit radiation if possible

INDICATIONS (1-6)
-
Thoracic spine infection suspected:
- Epidural abscess (MRI unavailable or contraindicated)
- Discitis osteomyelitis (MRI unavailable or contraindicated)
- Consider risk factors – diabetes, IVDU, UTIs, immunosuppression
​
-
Red Flags for Spinal Imaging (this applies to all regions)
-
Sinister pain
-
Fever
-
Loss of Weight
-
Prior history of malignancy
-
Infection risk
-
Falls
-
Difficulty walking
-
PATIENT PREPARATION
-
Patient able to lie still for ten minutes
-
Not claustrophobic (sedation may be given)
-
Cognitively capable of following basic instructions
-
Metal artefacts removed from the region of interest, including bra’s
-
No respiratory distress when lying supine
-
Not allergic to Iodine based Contrast
-
No known kidney disease (eGFR below 30 as per RANZCR), however, acute setting consultant may sign to continue with poor renal function
-
No hyperthyroidism, may induce thyroid storm
-
Patient to have 20G cannula in anterior cubital fossa.
-
Preferably patient fasted for 4 hours
ANATOMY INCLUDED
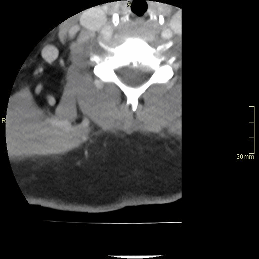
CT Thoracic Spine Contrast- Soft tissue window (axial)

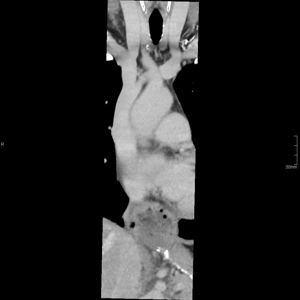
CT Thoracic Spine Contrast- Soft tissue window (coronal)
CT Thoracic Spine Contrast- Soft tissue window (sagittal)





CT Thoracic Spine Contrast- Bone window (axial)
CT Thoracic Spine Contrast- Bone window (coronal)
CT Thoracic Spine Contrast- Bone window (sagittal)
REFERENCES
-
Tins, B. (2010). Technical aspects of CT imaging of the spine. Insights into Imaging, 1(5–6), 349–359. https://doi.org/10.1007/s13244-010-0047-2
-
Ahmad, Z., Mobasheri, R., Das, T., Vaidya, S., Mallik, S., El-Hussainy, M., & Casey, A. (2014). How to interpret computed tomography of the lumbar spine. The Annals of The Royal College of Surgeons of England, 96(7), 502–507. https://doi.org/10.1308/rcsann.2014.96.7.502
-
American College of Radiology (ACR). Appropriateness Criteria. [ Internet]. 2022 [Updated 2023, Cited 20 April 2024]. Available from https://www.acr.org/Clinical-Resources/ACR-Appropriateness-Criteria