This is an education resource only. Ordering of all procedure codes on this website are subject to the Canberra Health Services guidelines for imaging orders.
CT HIP CONTRAST
FOR ALL EXTREMITIES, PLEASE REFERENCE SIDE AND REGION OF INTEREST TO BE SCANNED IN CT REQUEST

INDICATIONS (1-7)
-
Soft tissue mass of the hip (X-ray and US non-diagnostic & MRI contraindicated)
-
Osteomyelitis/Septic arthritis of the hip:
- Arthroplasty or implanted, intra articular surgical hardware
- X-ray suggest or soft-tissue swelling -
Soft tissue infection of the hip:
- X-ray suggest joint effusion or soft tissue swelling
- Infection of hip prostheses
- Puncture wound, possible foreign body retained (x-ray normal)
- X-ray normal, necrotizing fasciitis highly suspected
- Soft tissue gas on x-ray, no puncture wound -
Post-Operative evaluation
PATIENT PREPARATION
-
Patient able to lie still for ten minutes
-
Not claustrophobic (sedation may be given)
-
Cognitively capable of following basic instructions
-
Metal artefacts removed from the region of interest
-
No respiratory distress when lying supine
-
Not allergic to Iodine based contrast
-
No known kidney disease (eGFR below 30 as per RANZCR), however, acute setting consultant may sign to continue with poor renal function
-
No hyperthyroidism, may induce thyroid storm
-
Patient to have 20G cannula in anterior cubital fossa.
-
Preferably patient fasted for 4 hours
ANATOMY INCLUDED
SCAN RANGE: Entire pelvis from iliac crest to below lesser trochanter (Multi-planar reconstructions are only of the affected hip).

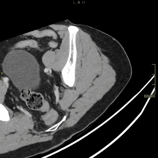
CT Hip Contrast- Soft tissue window (axial)

CT Hip Contrast- Soft tissue window (coronal)

CT Hip Contrast- Soft tissue window (sagittal)

CT Hip Contrast- Bone window (axial)

CT Hip Contrast- Bone window (coronal)

CT Hip Contrast- Bone window (sagittal)
CT HIP NON CONTRAST
FOR ALL EXTREMITIES, PLEASE REFERENCE SIDE AND REGION OF INTEREST TO BE SCANNED IN CT REQUEST
INDICATIONS (1-7)
-
Chronic Hip pain:
- Osteoarthrosis
- Gout or pseudogout suspected (x-ray inconclusive) -
Osteonecrosis of the hip, articular collapse on radiography, preoperative planning
-
Stress (insufficiency) fracture suspected of the hip (x-ray inconclusive)
-
Hip replacement, symptomatic, history of acute injury (x-ray inconclusive)
-
Femoroacetabular impingement
-
Acetabular dysplasia
-
Complication of hip prostheses including peri-prosthetic fractures
-
Trauma:
- Proximal femoral or acetabular fractures -
Acetabular rim abnormalities (fragmentation, subchondral cysts, os acetabuli)
-
Pre-operative planning
-
Post-operative follow-up
PATIENT PREPARATION
-
Patient able to lie still for five minutes
-
Not claustrophobic (sedation may be given)
-
Cognitively capable of following basic instructions
-
Metal artefacts removed from the region of interest
-
No respiratory distress when lying supine
ANATOMY INCLUDED
SCAN RANGE: Entire pelvis from iliac crest to below lesser trochanter (Multi-planar reconstructions only of affected hip).



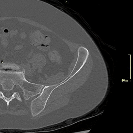
CT Hip Non Contrast- Bone window (axial)
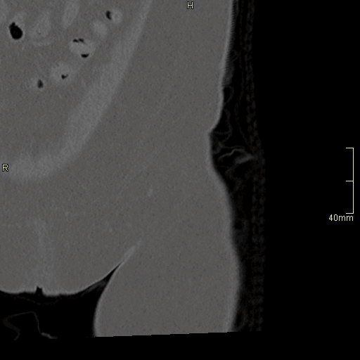
CT Hip Non Contrast- Bone window (coronal)
CT Hip Non Contrast- Bone window (sagittal)

CT Hip Non Contrast- Soft tissue window (axial)


*Extra 3D Reconstructions Available
REFERENCES
-
American College of Radiology (ACR). Appropriateness Criteria. [ Internet]. 2022 [Updated 2023, Cited 22 Jan 2024]. Available from https://www.acr.org/Clinical-Resources/ACR-Appropriateness-Criteria
-
Radiopaedia. CT hip (protocol). [Internet]. 2010 [updated 23 March 2023, cited 04 Feb 2024]. Available from https://radiopaedia.org/articles/ct-hip-protocol-1?lang=gb
-
Grabinski, R., Ou, D., Saunder, K., Rotstein, A., Singh, P., Pritchard, M., & O’Donnell, J. (2014). Protocol for CT in the position of discomfort: Preoperative assessment of femoroacetabular impingement – how we do it and what the surgeon wants to know. Journal of Medical Imaging and Radiation Oncology, 58(6), 649–656. https://doi.org/10.1111/1754-9485.12201
-
Foex, B. A., & Russell, A. (2018). Bet 2: CT versus MRI for occult hip fractures. Emergency Medicine Journal, 35(10), 645–647. https://doi.org/10.1136/emermed-2018-208093.3
-
Mascarenhas, V. V., Ayeni, O. R., Egund, N., Jurik, A. G., Caetano, A., Castro, M., Novo, J., Gonçalves, S., & Sutter, R. (2019). Imaging methodology for hip preservation: Techniques, parameters, and Thresholds. Seminars in Musculoskeletal Radiology, 23(03), 197–226. https://doi.org/10.1055/s-0039-1688714
-
Huang, B. K., Tan, W., Scherer, K. F., Rennie, W., Chung, C. B., & Bancroft, L. W. (2019). Standard and advanced imaging of hip osteoarthritis. what the radiologist should know. Seminars in Musculoskeletal Radiology, 23(03), 289–303. https://doi.org/10.1055/s-0039-1681050
-
Blum, A., Meyer, J.-B., Raymond, A., Louis, M., Bakour, O., Kechidi, R., Chanson, A., & Gondim-Teixeira, P. (2016). CT of hip prosthesis: New techniques and new paradigms. Diagnostic and Interventional Imaging, 97(7–8), 725–733. https://doi.org/10.1016/j.diii.2016.07.002