This is an education resource only. Ordering of all procedure codes on this website are subject to the Canberra Health Services guidelines for imaging orders.
CT CERVICAL SPINE NON CONTRAST
NOTE: Please indicate specific vertebral levels for scan range to limit radiation if possible
INDICATIONS (1,3)
-
Acute cervical spine trauma - Age ≥16 years.
-
Neck trauma (NEXUS or CCR clinical criteria):
- Midline tenderness
- Impaired ROM
- Focal neurological deficit or paraesthesia
- Intoxicated or obtunded
- Dangerous injury mechanism
- Distracting injury
- > 65 years old -
Primary bone tumour suspected in cervical spine- suspected on radiography or clinical exam
-
Spinal tumours or vertebral metastasis – assessment of pathological fracture
-
Axial spondyloarthritis, spine ankylosis, cervical spine fracture suspected- initial imaging
-
Neck pain (particularly if red flags are present)
- New, history of multiple vertebral compression fractures, initial imaging -
Cervical radiculopathy, acute
-
Suspected axial spondyloarthritis with cervical symptoms
-
Cervical vertebral compression fracture on radiography:
- Asymptomatic, history of malignancy, next imaging study
- Symptomatic, new, history of malignancy, next imaging study
- Symptomatic, new, no malignancy, next imaging study -
Pre-operative and post-operative evaluation
PATIENT PREPARATION
-
Patient able to lie still for five minutes
-
Not claustrophobic (sedation may be given)
-
Cognitively capable of following basic instructions
-
Metal artefacts removed from the region of interest
-
No respiratory distress when lying supine
ANATOMY INCLUDED

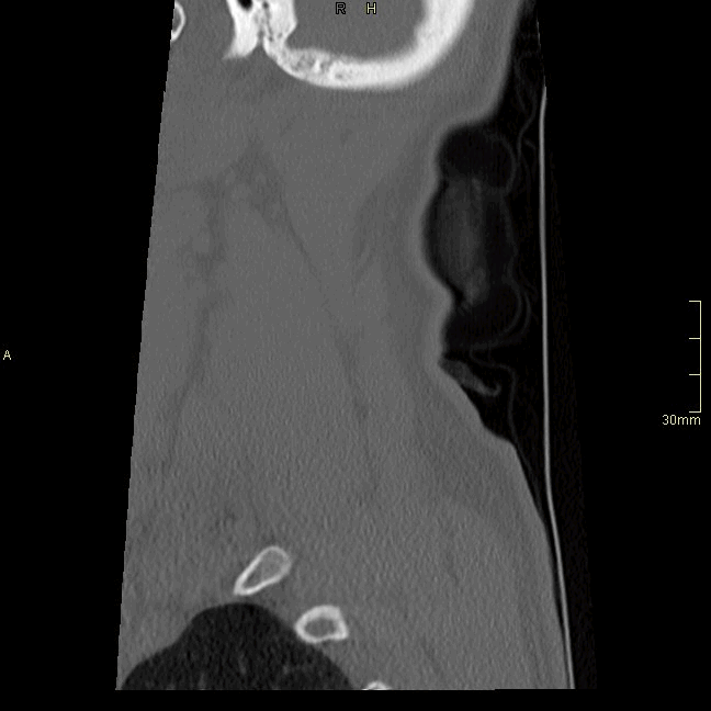
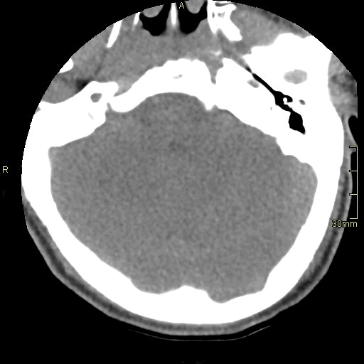
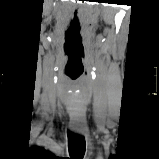
CT Cervical Spine Non Contrast- Bone window (axial)

CT Cervical Spine Non Contrast- Bone window (coronal)

CT Cervical Spine Non Contrast- Bone window (Sagittal)

CT Cervical Spine Non Contrast- Soft Tissue window (axial)

CT Cervical Spine Non Contrast- Soft Tissue window (coronal)

CT Cervical Spine Non Contrast- Soft Tissue window (sagittal)
REFERENCES
-
Tins, B. (2010). Technical aspects of CT imaging of the spine. Insights into Imaging, 1(5–6), 349–359. https://doi.org/10.1007/s13244-010-0047-2
-
Ahmad, Z., Mobasheri, R., Das, T., Vaidya, S., Mallik, S., El-Hussainy, M., & Casey, A. (2014). How to interpret computed tomography of the lumbar spine. The Annals of The Royal College of Surgeons of England, 96(7), 502–507. https://doi.org/10.1308/rcsann.2014.96.7.502
-
American College of Radiology (ACR). Appropriateness Criteria. [ Internet]. 2022 [Updated 2023, Cited 20 April 2024]. Available from https://www.acr.org/Clinical-Resources/ACR-Appropriateness-Criteria