This is an education resource only. Ordering of all procedure codes on this website are subject to the Canberra Health Services guidelines for imaging orders.
CT ANGIOGRAPHY PELVIS

INDICATIONS (2)
-
Pelvic trauma – particularly in the settling of persisting haemodynamic instability in pelvic fractures.
-
Vascular malformation suspected of the hips with pain or findings of physical deformity.
-
Pre-operative planning – iliac artery aneurysm repair, angioplasty, embolization (typically also includes the abdominal aorta).
-
Pre-embolisation work up for prostate or uterine artery embolization.
PATIENT PREPARATION
-
Patient able to lie still for ten minutes
-
Not claustrophobic (sedation may be given)
-
Cognitively capable of following basic instructions
-
Metal artefacts removed from the region of interest
-
No respiratory distress when lying supine
-
Not allergic to Iodine based contrast
-
No known kidney disease (eGFR below 30 as per RANZCR), however, acute setting consultant may sign to continue with poor renal function
-
No hyperthyroidism, may induce thyroid storm
-
Patient to have 18G cannula in anterior cubital fossa to enable a 7ml/s flow rate (20G cannula acceptable if flushing to 5ml/s).
-
Preferably patient fasted for 4 hours
ANATOMY INCLUDED

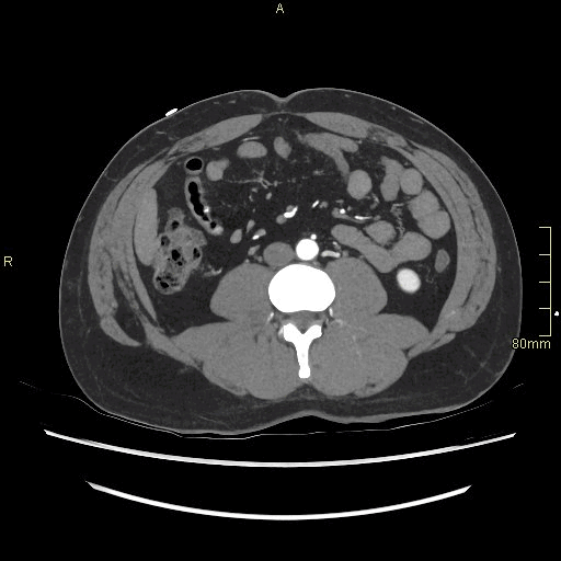
CT Angiography Pelvis - Maximum Intensity Projection (axial)

CT Angiography Pelvis - Maximum Intensity Projection (coronal)

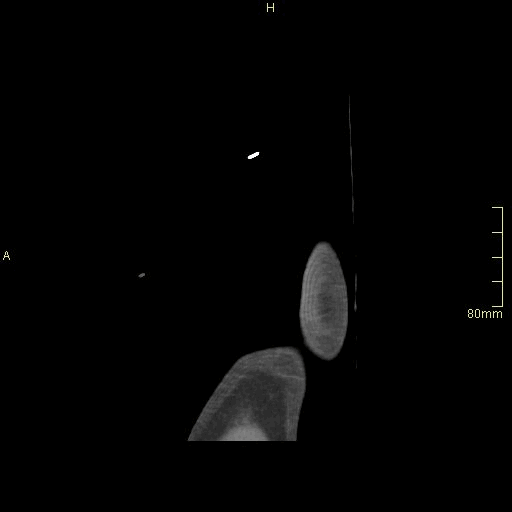
CT Angiography Pelvis - Maximum Intensity Projection (sagittal)
REFERENCES
-
Patterson et al., 2016 - Clinical indications for CT angiography in lower extremity trauma, Current Orthopaedic Practice 27(4):p 400-404
-
American College of Radiology (ACR). Appropriateness Criteria. [Internet]. 2022 [Updated 2023, Cited 20 Feb 2024]. Available from https://www.acr.org/Clinical-Resources/ACR-Appropriateness-Criteria