This is an education resource only. Ordering of all procedure codes on this website are subject to the Canberra Health Services guidelines for imaging orders.
CT ANGIOGRAPHY LOWER LIMB

INDICATIONS (1,2)
-
Lower extremity trauma
- High risk injuries include – distal segmental femoral fractures, high energy tibial plateau fractures, displaced distal femoral fractures at the adductor hiatus, open femoral or tibial fractures, knee dislocation.
- Arterial laceration, occlusion, dissection or AV fistula/aneurysm formation. -
Pulsatile haemorrhage, expanding haematoma, palpable thrill, audible bruit, pulseless limb - initial imaging
-
Peripheral arterial disease - claudication, tissue loss, ulceration, revascularisation assessment- initial imaging
-
Fibromuscular dysplasia, non- inflammatory vascular disease, connective tissue vascular disease, vasculitis
-
Popliteal arterial entrapment syndrome
-
Clinically suspected vascular malformation of the lower extremity
-
Post-operative arterial pseudoaneursym
-
External iliac endofibrosis suspected
PATIENT PREPARATION
-
Patient able to lie still for ten minutes
-
Not claustrophobic (sedation may be given)
-
Cognitively capable of following basic instructions
-
Metal artefacts removed from the region of interest
-
No respiratory distress when lying supine
-
Not allergic to Iodine based contrast
-
No known kidney disease (eGFR below 30 as per RANZCR), however, acute setting consultant may sign to continue with poor renal function
-
No hyperthyroidism, may induce thyroid storm
-
Patient to have 18G cannula in anterior cubital fossa to enable a 7ml/s flow rate (20G cannula acceptable if flushing to 5ml/s).
-
Preferably patient fasted for 4 hours
ANATOMY INCLUDED



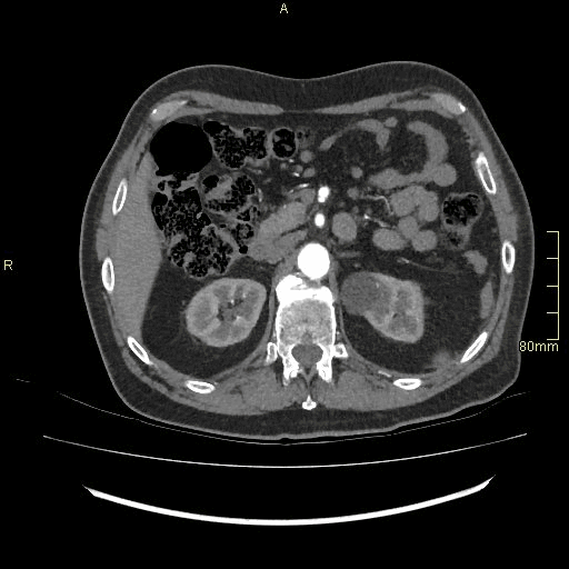
CT Angiography Lower Limb - Soft tissue window (axial)
CT Angiography Lower Limb- Soft tissue window (coronal)
CT Angiography Lower Limb- Soft tissue window (sagittal)

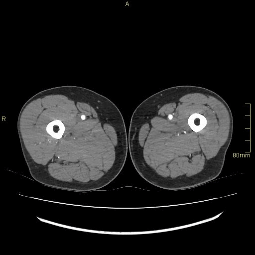
CT Angiography Lower Limb (Knees down) - Soft tissue window (axial)

CT Angiography Lower Limb (knees down)- Soft tissue window (coronal)

CT Angiography Lower Limb (knees down)- Soft tissue window (sagittal)
REFERENCES
-
Patterson et al., 2016 - Clinical indications for CT angiography in lower extremity trauma, Current Orthopaedic Practice 27(4):p 400-404
-
American College of Radiology (ACR). Appropriateness Criteria. [Internet]. 2022 [Updated 2023, Cited 20 Feb 2024]. Available from https://www.acr.org/Clinical-Resources/ACR-Appropriateness-Criteria