This is an education resource only. Ordering of all procedure codes on this website are subject to the Canberra Health Services guidelines for imaging orders.
CT ABDOMEN VENOGRAM

INDICATIONS (1-4)
-
IVC thrombus
-
Iliocaval disease suspected- Severe post thrombotic changes
-
Lower extremity venous disease suspected, severe post thrombotic changes
-
Varicose veins, lower extremity, pelvic origin suspected
-
May-Thurner Syndrome
-
Pelvic congestion syndrome
-
Mesenteric, portal, hepatic vein thrombosis
-
Pre-operative planning or post-operative follow up for venous intervention
PATIENT PREPARATION
-
Patient able to lie still for ten minutes
-
Not claustrophobic (sedation may be given)
-
Cognitively capable of following basic instructions
-
Metal artefacts removed from the region of interest
-
No respiratory distress when lying supine
-
Not allergic to Iodine based Contrast
-
No known kidney disease (eGFR below 30 as per RANZCR), however, acute setting consultant may sign to continue with poor renal function
-
No hyperthyroidism, may induce thyroid storm
-
Patient to have 18G cannula in anterior cubital fossa to enable a 7ml/s flow rate (20G cannula acceptable if flushing to 5ml/s).
-
Preferably patient fasted for 4 hours
ANATOMY INCLUDED



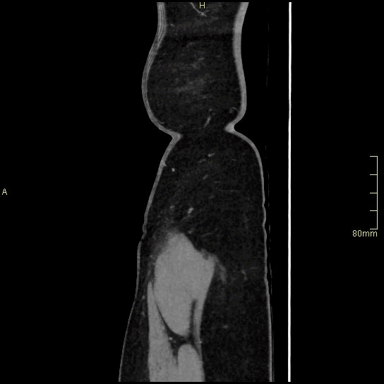
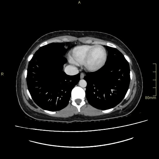
CT Abdomen Venogram - Soft tissue window (axial)
CT Abdomen Venogram- Soft tissue window (coronal)
CT Abdomen Venogram- Soft tissue window (sagittal)
REFERENCES
-
Alduk, A. M., & O’Sullivan, G. (2018). CT Venography: Technique and Indications. Endovascular Today, 17(7), 60–62.
-
Glick, Y. (2023, April 18). May-Thurner Syndrome: Radiology Reference Article. Radiopaedia. https://radiopaedia.org/articles/may-thurner-syndrome-2
-
Hurst, D. R., Forauer, A. R., Bloom, J. R., Greenfield, L. J., Wakefield, T. W., & Williams, D. M. (2001). Diagnosis and endovascular treatment of iliocaval compression syndrome. Journal of Vascular Surgery, 34(1), 106–113. https://doi.org/10.1067/mva.2001.114213
-
Lakra, R., Grewal, U., Rana, M., Gaddam, S. J., & Beedupalli, K. (2023). May thurner syndrome: Diagnostic and therapeutic outcomes in an institutional setting. Blood, 142(Supplement 1), 5546–5546. https://doi.org/10.1182/blood-2023-187026
-
Toh, M. R., Tang, T. Y., Lim, H. H., Venkatanarasimha, N., & Damodharan, K. (2020). Review of imaging and endovascular intervention of iliocaval venous compression syndrome. World Journal of Radiology, 12(3), 18–28. https://doi.org/10.4329/wjr.v12.i3.18