This is an education resource only. Ordering of all procedure codes on this website are subject to the Canberra Health Services guidelines for imaging orders.
CT CHEST / ABDO / PELVIS NON CONTRAST
INDICATIONS (1-4)
-
Contrast contraindicated
-
Trauma – fracture/dislocations
PATHOLOGY DEMONSTRATED (1-4)
-
Pulmonary infections
-
pulmonary nodules or masses
-
mediastinal masses and nodules including calcifications
-
masses of the chest wall
-
bronchiectasis or small airway disease
-
rib fractures
-
abnormal aeration or air collections within and outside the lungs including:
-
pneumothorax
-
pulmonary emphysema
-
mediastinal emphysema
-
soft tissue emphysema
-
atelectasis
-
-
Faecal Loading
-
Urolithiasis (location & size)
-
Secondary signs of renal tract obstruction and infection
-
Soft tissue swelling
-
Fracture/dislocation
-
Soft tissue/bone malignancy (may require further characterisation with contrast)
PATIENT PREPARATION
-
Patient able to lie still for ten minutes
-
Not claustrophobic (sedation may be given)
-
Cognitively capable of following basic instructions, including breathing instructions
-
Metal artefacts removed from the region of interest
-
No respiratory distress when lying supine
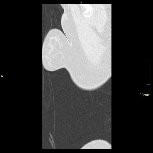
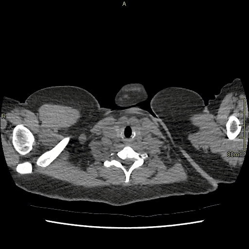
ANATOMY INCLUDED
Example below is a General Chest/Abdo/Pelvis without contrast. Bony reconstructions are available depending on clinical question and differential diagnosis
Chest/Abdo/Pelvis (Axial)

Lung (Axial)
Chest/Abdo/Pelvis (Coronal)

Lung (Coronal)
Chest/Abdo/Pelvis (Sagittal)

Lung (Sagittal)
REFERENCES
1. American College of Radiology (ACR). Appropriateness Criteria. [Internet]. 2022 [Updated 2021, cited 10 Aug 2022]. Available from https://www.acr.org/Clinical-Resources/ACR-Appropriateness-Criteria​
​
2. Radiopaedia. CT Chest Non-Contrast (Protocol) [Internet]. 2008 [updated 7 April 2022, cited 23 Aug 2022]. Available from https://radiopaedia.org/articles/ct-chest-non-contrast-protocol-1?lang=gb
​
3. Radiopaedia. CT Abdomen-Pelvis (Protocol) [Internet]. 2008 [updated 7 April 2022, cited 23 Aug 2022]. Available from https://radiopaedia.org/articles/ct-abdomen-pelvis-protocol-1?lang=us
​​
4. Radiopaedia. CT Chest Abdomen-pelvis (protocol). [Internet]. 2008 [updated 7 April 2022, cited 23 Aug 2022]. Available from https://radiopaedia.org/articles/ct-chest-abdomen-pelvis-protocol-2?lang=gb


