This is an education resource only. Ordering of all procedure codes on this website are subject to the Canberra Health Services guidelines for imaging orders.
CT CHEST / ABDO / PELVIS CONTRAST

INDICATIONS (1-5)
From ACR Criteria:
-
Large vessel vasculitis suspected, initial imaging
-
Solid and hollow organ malignancy
-
A combination of suspected pathologies that are indicated by both the chest with contrast and abdomen with contrast RIS codes
PATHOLOGY DEMONSTRATED (1-5)
PATIENT PREPARATION
-
Patient able to lie still for ten minutes
-
Not claustrophobic (sedation may be given)
-
Cognitively capable of following basic instructions
-
Metal artefacts removed from the region of interest, including bras and necklaces
-
No respiratory distress when lying supine
-
Not allergic to Iodine based Contrast
-
No known kidney disease (eGFR below 30 as per RANZCR), however, acute setting consultant may sign to continue with poor renal function
-
No untreated hyperthyroidism, may induce thyroid storm
-
Patient to have 20G cannula in anterior cubital fossa.
-
Preferably patient fasted for 4 hours
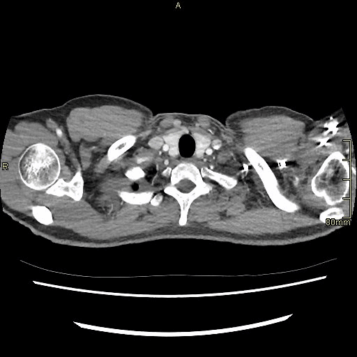
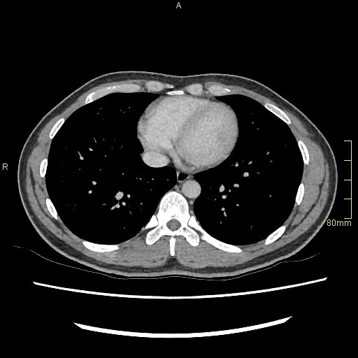
ANATOMY INCLUDED
Example below is a General Chest/Abdo/Pelvis with contrast. Bony & Lung reconstructions are available depending on clinical question and differential diagnosis

Chest Arterial (Axial)

Portal Venous Abdomen (Axial)
Chest Arterial (Coronal)

Portal Venous Abdomen (Coronal)
Chest Arterial (Sagittal)

Portal Venous Abdomen (Sagittal)
REFERENCES
1. American College of Radiology (ACR). Appropriateness Criteria. [Internet]. 2022 [Updated 2021, cited 10 Aug 2022]. Available from https://www.acr.org/Clinical-Resources/ACR-Appropriateness-Criteria​
​
2. Radiopaedia. CT Chest (Summary) [Internet]. 2008 [updated 7 April 2022, cited 23 Aug 2022]. Available from https://radiopaedia.org/articles/ct-chest-summary?lang=gb
​
3. Radiopaedia. CT Abdomen-Pelvis (Protocol) [Internet]. 2008 [updated 7 April 2022, cited 23 Aug 2022]. Available from https://radiopaedia.org/articles/ct-abdomen-pelvis-protocol-1?lang=us
​​
4. Radiopaedia. CT Triple-Phase Liver (Protocol). [Internet]. 2008 [updated 7 April 2022, cited 23 Aug 2022]. Available from https://radiopaedia.org/articles/ct-triple-phase-liver-protocol?lang=us#:~:text=portal%20venous%20phases.-,Indications,hyperplasia%2C%20adenoma%2C%20and%20hemangioma.
5. Radiopaedia. CT Chest Abdomen-pelvis (protocol). [Internet]. 2008 [updated 7 April 2022, cited 23 Aug 2022]. Available from https://radiopaedia.org/articles/ct-chest-abdomen-pelvis-protocol-2?lang=gb

